夯实牙周,春日种牙更稳固!全城开放充值叠加返赠活动
随着生活质量的提高,越来越多缺牙的市民朋友开始选择种植牙。
而美奥口腔已经帮很多患者解决了缺失牙齿的烦恼,王阿姨就是其中之一。
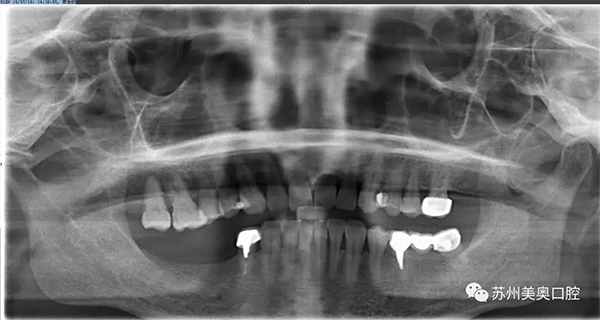
没有来到美奥口腔之前,王阿姨的牙齿情况是这样的。我们可以看到,王阿姨口内牙齿已经严重缺失,影响到了她的日常生活。

在美奥口腔种植之后,王阿姨目前的牙齿情况如下。

那么王阿姨怎么看待种植过程呢?我们一起听听吧!
种牙已经得到患者们的广泛认可,那么种植前做哪些准备或者调理才能对稳固种植牙,延长其寿命起到积极作用呢?
特别是对于种植牙的“土壤”——牙周的调理是不是每家牙科都做了妥善治疗?
三月,苏州美奥口腔七周年品质盛典,全国13省38家共庆,为更多苏城市民带来健康福利。
牙周不健康 盲目种植的后果很严重
在夯实的土壤里和疏松的沙土里种树苗,生长的结果完全不一样。
同样,在健康的牙周和有炎症的牙周里种牙,种植牙的成功率、存活率和寿命都截然不同。
如果种牙前,没有很好的处理糟糕的牙周情况,种植体后期就很难与牙槽骨结合,细菌侵入,破坏组织,同时伴随软组织增生、化脓、流血、红肿、疼痛,最后造成种植体松动甚至脱落。
美奥支招 呵护牙周健康4招
苏州美奥口腔专家介绍,做好日常清洁有助于预防牙周炎症,而一旦发现有结石、牙龈红肿、出血、牙龈牙骨萎缩等牙周炎症状要及早就医,防止病情发展加治疗费用和难度。
首先,定时刷牙,饭后漱口,养成睡前不吃东西的习惯;
其次,每隔半年到一年定期洗牙,去除引起牙龈炎的菌斑和牙石,一年一到两次较好;
再次,及时治疗控制病情,通过牙周治疗和牙龈刮治控制牙周深层组织病变,去除炎症组织;
对已经松动的牙齿进行固定,拔除不能保留的牙齿;
此外,还要每年定期进行口腔检查,早发现早治疗。
牙周治疗要做到良好的恢复则要依靠医生的技术和医疗机构的设备支持。
激光清理牙周炎症 夯实基础稳固种植牙
牙周清理维护,目前有两种方法,一种是医生利用工具手动清除炎症和细菌,另一种是利用激光辅助清理。激光在处理牙周炎症上比单纯手动处理更加细致。
单纯机械手动清理牙周炎症,存在一定的清理盲区,包括牙周袋内壁上皮下的细菌以及根面毒素残留物不能完全清除;根分叉、颌面沟裂、磨牙远中邻面等不能去除感染;工具带来的振动和噪音给患者带来不适。
利用激光辅助牙周清理,在治疗当中相比于实体工具更加“温柔”,更可以清理机械工具无法到达的盲区,去除炎症。
另外,激光的弱生物特性具有强效的抑菌消炎能力,更快止血,防止术后水肿,促进愈合恢复,在清理完炎症后辅助抑菌巩固效果。
双波激光相比于单波激光,更集结了目前两种不同波长的激光,能够同时处理软组织和硬组织等多种适应症,实现种牙前“温柔”的处理好发炎的牙周组织,增强牙周健康程度,夯实种植牙“地基”,让种植牙更加稳固和长寿。
想种牙,您的牙周足够健康吗?
是否有牙龈出血,红肿,是否有牙齿松动,牙龈,牙骨萎缩?
美奥口腔七周年品质盛典,全国13省38家共庆,苏州面向全城开放充值叠加返赠活动,为苏城市民带来口腔健康福利,如果您预备在种牙前检查自己的牙周健康,获得更好的种植牙基础,或者想要更长久稳固的种植牙,可详细咨询。




