美奥DSD数字美牙设计 短时间就让你“好看”
要是少了笑容,那得多么暗淡?可很多人因为牙齿难看束缚了笑容。现在,美奥口腔只用短时间就能还你一口洁白美丽好牙齿;而你要做的就是,释放笑容,绚烂这个!
美牙迎接笑容 美牙拒绝等待
美丽从不过时,美丽更要速度,好看牙齿让你笑靥如花,绽放人生光彩!现在开始,美牙无需等待,美丽更加好,美奥口腔全力采用DSD微笑设计,短时间就让“你好看”!
10个免费体验名额等你抢
美奥口腔为让大家更好的体验优良美牙技术——DSD数字微笑美牙设计,特开通免费体验通道,只需扫一扫官方二维码关注,并发送“DSD+姓名+手机号”,抢到即送!

扫一扫 发送“DSD+姓名+手机号”
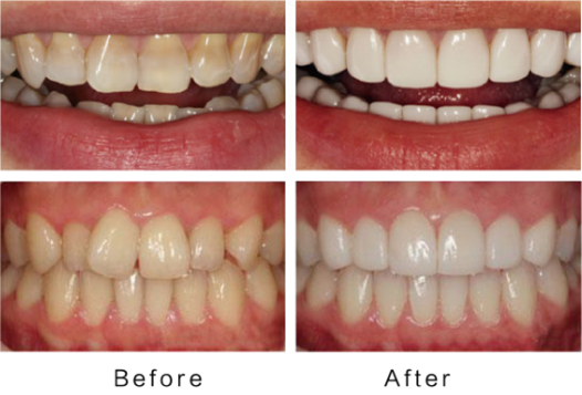
什么是DSD数字微笑设计?
DSD数码微笑美学修复(Digital Smile Design)技术,借助计算机3D数字化结合口腔美学理念,通过对微笑时牙齿显露的长度、边角、表面纹理、以及排列上的设计,达到牙齿美容修复、展露较美微笑的双重功效,是时下深受各界追捧的热门技术。
1、时间短 预见牙齿美容效果
根据牙齿美容修复的具体情况,类似牙缝、前牙缺损等情况,通过DSD微笑设计短时间即可完成设计。部分复杂牙齿情况,需要在牙周医生、正畸医生一同会诊确定方案的,也只需短时间。

2、DSD数字微笑设计流程
(1)首优良行面部美学分析——初步评估微笑
(2)然后分析数字面弓(Digital Face bow)——确定中线、笑线、牙长轴线、外形顶点

(3)分析微笑——确定前牙牙龈缘高度、长宽比例、大小比例,绘制牙齿形态完成DSD设计

(4)根据DSD 设计制作模拟蜡型及牙体预备导板完成标准化牙体预备,口内制作mock up
(5)根据DSD完成贴面/全瓷冠,呈现好微笑
不只是牙齿美容 而是整个面部微笑设计
DSD微笑设计不仅仅是牙齿美容设计,而是包括牙齿在内的整个面部的笑容设计。不是按照统一标准设计,而是根据求美者个人的面型、牙齿、笑线等量身定制。

并不是口腔机构都能做DSD数字美学设计
DSD“微笑设计”可不是什么牙医口腔机构都可以做哦!治疗前一定要先确认治疗机构是否配备专业口腔技师和牙齿美容修复医生。配合德国瓷睿刻(CEREC)牙齿美容修复,丑牙变美。
美奥口腔全力引进德国瓷睿刻系统,配备专业的美牙技师,为您量身定制。更详细情况可,→【在线咨询医助】




